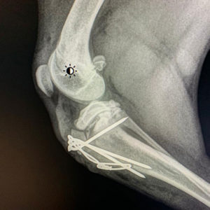
A ZAMBRA la recogimos del CPA con una avulsión de tuberosidad tibial en la pata derecha trasera. Ya esta operada y recuperándose perfectamente, aunque cuesta que haga reposo porque todo lo que quiere es jugar y pasarlo bien. Una perrita de personalidad abierta. Cariñosa y muy agradecida. Sumisa con las personas.
Muy sociable y juguetona con otros perros. Activa y locuela durante los paseos, le encanta inspeccionar y curiosear a su alrededor. Se adapta rápidamente a nuevos entornos.











